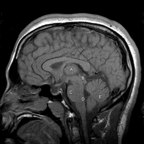
Normal Brain MRI
⚠️ Image not found.
Please save file as
normalbrainmri.png
📖 Answer Key
🔄 Restart
×
Answer Key
Label
Structure & Function
Continue